![]() | Van Gieson染色液 |
| 产品编号:S-1515 | |
| 产品规格:50ml | |
| 产品价格:¥160.00 | |
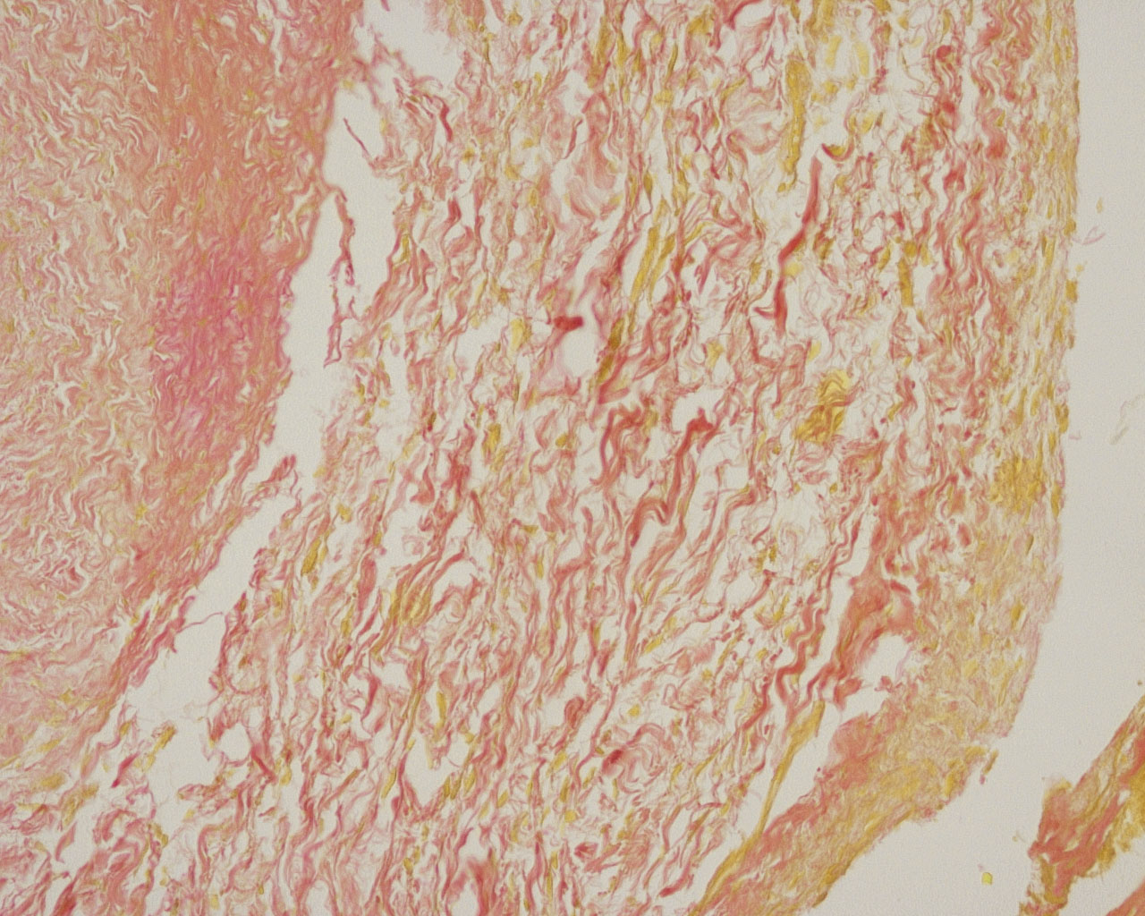
产品描述: 胶原纤维(Collagen Fiber)是结缔组织中分布最广含量最多的一种纤维,广泛分布于各种脏器,其中皮肤、巩膜、肌腱最丰富。Ⅰ型胶原纤维主要是骨、皮肤、肌腱纤维;Ⅱ型胶原纤维主要是软骨胶原;Ⅲ型胶原纤维主要在胚胎组织、成人血管、胃肠道;Ⅳ型胶原纤维主要在基膜中。Van Gieson胶原纤维染色原理与阴离子染料分子的大小和组织的渗透有关。分子的大小由分子量来体现,小分子量易穿透结构致密、渗透性低的组织,而大分子量则只能进入结构疏松的、渗透性高的组织。PA分子量小,丽春红和复红次之,淡绿分子量最大。VG染色后,肌纤维呈黄色,胶原纤维呈红色。 ![]() | |









